A dentist wearing blue gloves holds a dental shade guide near a patient's mouth, helping her choose the right teeth whitening treatment.

Teeth Whitening

A beautiful smile can change the way you feel about your entire day. Professional teeth whitening is an easy treatment option that gives you noticeable results without the guesswork of over-the-counter products. Whether you prefer gradual whitening at home or fast results in the dental chair, we offer personalized options designed around your comfort and goals.

Helping Fort Pierce Smile Brighter

Tooth discoloration happens gradually. Even with consistent brushing and regular dental visits, changes in enamel and daily habits can affect the brightness of your smile. Some of the most common contributors include:

  • Dark-colored beverages, such as coffee, tea, red wine, and soda

  • Foods with strong pigments, including berries, sauces, and spices

  • Tobacco use, which can cause deep, stubborn staining

  • Natural aging, as enamel thins and reveals darker layers beneath

  • Certain medications, especially when taken during tooth development

  • Genetics, which influence enamel thickness and natural tooth shade

Together, these factors can dull the appearance of teeth even when they are otherwise healthy.

Why Teeth Become Discolored


When exploring teeth whitening, many people start with over-the-counter options like strips or gels. While these products can offer modest improvement, they tend to come with limitations.

Store-bought whitening products are designed to fit everyone, which means they rarely fit anyone well. This can lead to uneven whitening and increased tooth sensitivity.

Professional whitening provided through a dental office offers a more controlled approach. With dentist-guided whitening, treatment strength are tailored to your teeth, improving both comfort and results.

For patients looking for noticeable whitening without guesswork, professional options often provide a better balance of safety and effectiveness.

Professional Teeth Whitening vs. Store-Bought Products

teeth whitening port st lucie

How Professional Teeth Whitening Works

Professional teeth whitening works by using whitening agents that penetrate the enamel and break down stain molecules responsible for discoloration. What makes professional whitening different is not just the strength of the materials, but the control, fit, and guidance involved in the process.

At our practice, we offer take-home and in-office whitening options.


Custom Take-Home Whitening Trays

Our custom whitening trays are designed specifically for your smile. This ensures the whitening gel is applied evenly and comfortably. Here’s how the process works:

  • We take impressions of your teeth to capture precise details.

  • Trays are fabricated in-house to fit your teeth exactly.

  • Dr. Rowe provides professional-grade whitening gel and clear instructions.

  • Whitening can be completed at home over a series of days.

Because the trays are tailored to your teeth, the gel stays in contact with enamel where it is most effective while minimizing irritation to the gums. This allows for gradual, natural-looking brightening and gives you the flexibility to whiten at your own pace.


In-Office Teeth Whitening
In-office whitening is a faster approach that uses a higher-strength whitening gel applied during a single appointment. At our office, we use Opalescence Pro, a trusted professional whitening system known for delivering noticeable results while prioritizing tooth comfort. Unlike many whitening systems, Opalescence Pro does not require a light to activate the gel. Instead, the whitening solution works chemically, allowing for consistent, even whitening without unnecessary heat or sensitivity.

The whitening gel contains a unique blend of potassium nitrate and fluoride, which helps reduce tooth sensitivity while strengthening enamel during the process. Our team carefully monitors the treatment from start to finish to ensure you get the results you want.

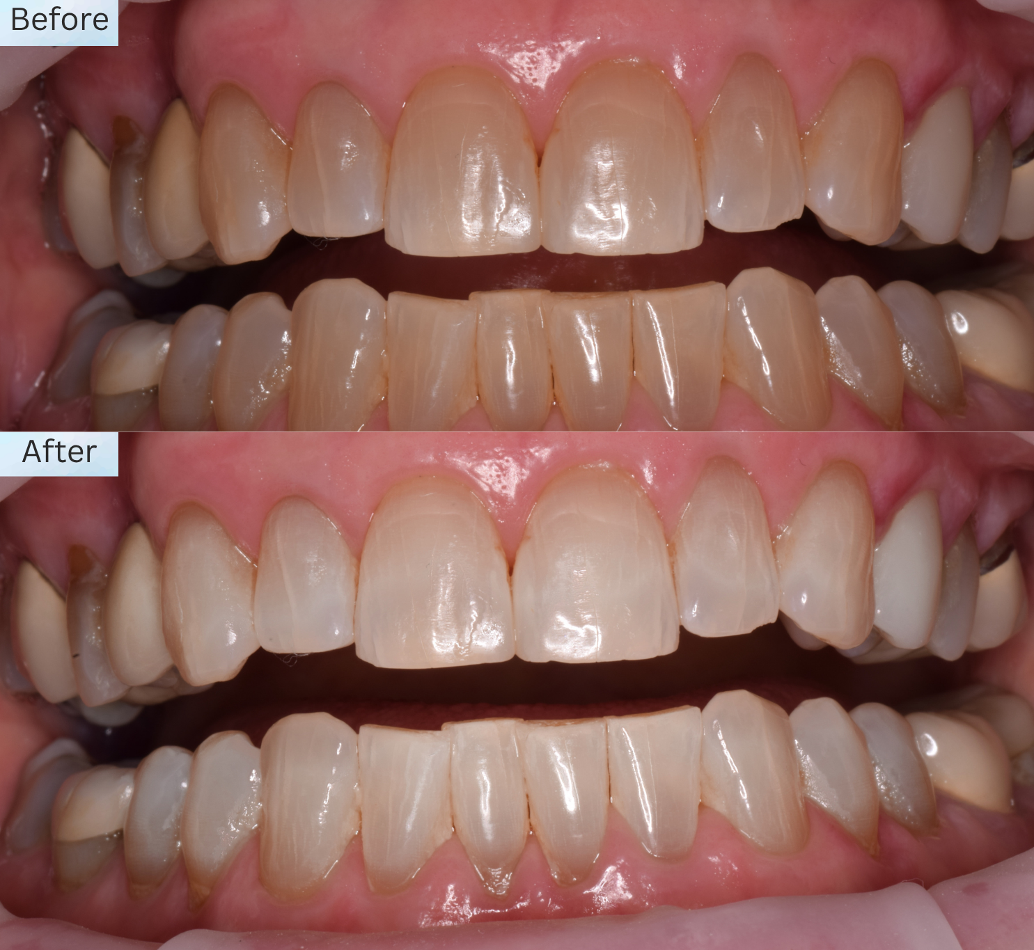
A before and after picture showing the results of professional teeth whitening
a woman smiling and showing her teeth before and after teeth whitening
Dental consultation room with a dental model, toothbrush, and dental X-ray on a wooden table, and a dentist and patient discussing a dental scan on a laptop.

Teeth that have had root canal treatment can respond differently to traditional teeth whitening. In some cases, a tooth may darken from the inside after a root canal, even if the surrounding teeth whiten normally.

This happens because a root canal-treated tooth no longer has a living nerve. Over time, internal changes within the tooth structure can affect its color, leading to discoloration that standard external whitening cannot fully correct.

What if I’ve Had a Root Canal?

Internal bleaching is a technique used specifically for teeth that have darkened after root canal treatment. Instead of applying whitening gel to the outside of the tooth, the material is placed inside the tooth, where the discoloration originates.

This approach allows the tooth to be lightened from within, helping it blend more naturally with the surrounding teeth. Internal bleaching is typically performed over a series of appointments and requires careful evaluation first.

Internal Bleaching Explained

Is Professional Teeth Whitening Right for You?

Teeth whitening looks best when it’s personalized. From custom-made trays to carefully selected in-office treatments, professional focuses on safety, comfort, and results that look natural.

If you’re interested in learning more about teeth whitening, we invite you to schedule a consultation and start the conversation!